IMAGENOLOGIA dos Membros Superiores
Teste os conhecimentos adquiridos neste curso. É necessário obter uma nota acima de 70% para que seu certificado seja enviado.
1 / 10
1. Observe a imagem acima. Que estrutura está rotulada com o número 2?
2 / 10
2. Observe esta imagem. Que estrutura corresponde ao número 5?
3 / 10
3. De acordo com as regras gerais do iRefer (Royal College of Radiology, 8ª edição), as diretrizes de imagens para punho e mão pedem que exame inicial fazer para avaliar tendinopatias ou qualquer massa de tecido mole (como cistos gangliônicos)?
4 / 10
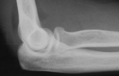
4. Paciente chega no seu consultório com dores agudas no cotovelo após queda com a mão estendida. Tirou uma radiografia, cujo laudo foi negativo. Em relação a esta imagem, qual das alternativas abaixo está INCORRETA?
5 / 10
5. Observe a imagem acima. Que estrutura o número 5 se refere?
6 / 10
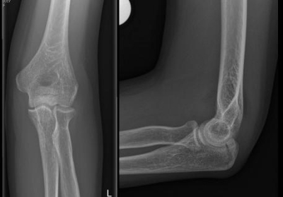
6. Em relação aos cortes acima, da esquerda para direita, qual alternativa está correta?
7 / 10
7. De acordo com as regras gerais do iRefer (Royal College of Radiology, 8ª edição), as diretrizes de imagens para ombro pedem que exame inicial fazer para avaliar ombro dolorido, síndrome do impacto e manguito rotador?
8 / 10
8. Observe esta imagem. Que estrutura corresponde ao número 2?
9 / 10
9. Observe a imagem acima do corte axial do punho. Qual a estrutura rotulada com o número 1?
10 / 10
10. Observe a imagem do punho acima. Qual a incidência e qual corte?
Reiniciar a avaliação
Celular: +55 (73) 98844-4507
E-mail: adm@idquiro.com
Site: www.idquiro.com